
四环素牙的危害 有哪些?四环素是由四环素类催化脱卤生物合成的抗生素,毒性低,四环素沉积于牙、骨骼以至指甲等,引起牙釉质发育不全等危害。四环素导致的牙齿变色是不可逆的。 详情咨询 四环素牙的危害: 1、影响牙齿色泽以及美观,四环素牙对儿童牙齿发育

根管治疗是国际公认的治疗牙髓病和根尖周病最有效的方法。在治疗当中由于根管过细,对于技术要求高, 显微根管治疗 在治疗中将髓腔和根管结构放大且提供了充足的光源,提高了手术的成功率。 详情咨询 显微根管治疗可以对传统根管治疗无法完成或难以完成的病

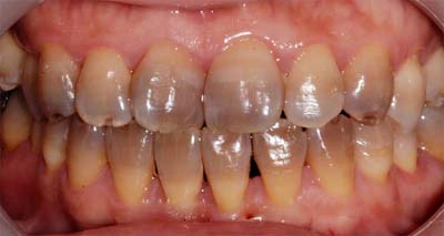
什么是四环素牙 ?四环素牙是一种在牙齿发育期中对四环素族药物使用不当所致的内源性永久性着色。四环素这类抗生素不仅引起牙着色,四环素还会沉积于牙、骨骼以至指甲等,严重还能引起釉质发育不全。 详情咨询 四环素牙的症状: ①四环素类药物的种类及其本

瓷贴面在改变牙缝过大,牙齿颜色等问题,拥有许多其它材料无法比拟的优点,但也有一些影响远期效果的因素,比如使用不当或操作不当会出现脱落的情况。那什么会影响瓷贴面的粘结效果呢? 详情咨询 影响瓷贴面粘结效果的因素 1.粘接材料的选择取决于其化学性能

对于根管治疗,我想大多数人也都不陌生,它是治疗神经性牙痛最好的方法,是牙髓炎、牙周炎的克星。但根管治疗虽然能够根治大部分牙痛,但是并不是所有的牙痛都适合做根管治疗,那么哪些症状适合做根管治疗呢? 详情咨询 一、不可复性牙髓炎,牙髓坏死、坏疽,

瓷贴面的优点,全瓷贴面是材料固定在牙齿上来达到美容牙齿的目的,这种方法能够很好的恢复牙齿美观,是修复美容牙齿很好的选择。 详情咨询 全瓷贴面是先进的口腔美容技术,相对其它牙齿美容,它的优点有: 1、全瓷贴面技术磨牙量相对传统瓷冠大大减少,一般

牙列不齐对于我们的面部的美观是有重要影响的,而且它还会给我们的生活、社交带来不利的影响。如今,随着人们生活水平的不断提高,人们对牙齿健康和美观也越来越重视,许多人选择正畸来恢复牙齿美观。那么,正畸的材料有哪些? 详情咨询 正畸的材料有很多,主

牙龈发红发黑外源是因为炎症或者金属中毒,并且牙龈发黑也不美观,我们怎么预防牙龈发红发黑。牙龈问题预示着牙周问题,保护口腔预防牙龈萎缩牙齿松动是口腔保健的目的。每个人都应该注意牙龈情况,做好口腔保